دماغ


الدماغ هو العضو الرئيسي في الجهاز العصبي عند الفقاريات وبعض اللافقاريات[1]. یجمع المعلومات ویحللها ویسیطر ویدیر على معظم أعضاء الجسم وکذلك هو منبع لإنتاج معلومات جدیدة والدماغ موجود لدى حیوانات عدیدة وغالبا یکون الدماغ محفوظا في الجمجمة داخل الرأس، ويشكل الدماغ الجزء الرئيسي من الجهاز العصبي. هناك ثلاثة مجامیع من الحیوانات لها أدمغة وهم الفقریات ومفصليات الأرجل (مثل الحشرات والعنکبوت) وعدد من اللافقریات ورأسیات الأرجل (من الرخویات). واللافقریات الأخرى لیس لدیهم أدمغة وعوضا عن ذلك لدیهم تجمعات لعقد عصبیة مفردة.
يتكون الدماغ البشري من كرة هلامية رمادية تميل إلى اللون الوردي، ويتميز سطحه بالعديد من النتوءات والأخاديد. ويزن دماغ المولود حديث الولادة أقل من نصف كيلوجرام، وعندما يصل إلى ست سنوات يصبح وزن دماغه 1,4 كجم، وهو أقصى ما يصل إليه في الوزن.
والدماغ یتألف من عشرات الملیارات من الخلایا العصبیة والتي العصبة الواحدة فیه تکون مرتبطا بجموعة کبیرة (أحیانا مع الآلاف) من الأعصاب المجاورة لها. يتألف دماغ الإنسان من عدة أقسام : المخ والمخيخ والبصلة السيسائية.
أشارت دراسة أمريكية بأن دماغ الإنسان تعمل بأقصى طاقتها عندما نكون في التاسعة والثلاثين ثم تبدأ بالتراجع بوتيرة سريعة بعد ذلك، حيث بعد سن الأربعين يعجز جسم الإنسان عن إصلاح الطبقة التي تغطى الخلايا العصبية، وأوضح علماء أن هذه الطبقة تشكل عازلاً وهي شبيهة بالغطاء البلاستيكى الذي يغطى الكوابل الكهربائية وتتيح الانتشار السريع للإشارات حول الجسد والدماغ [2]
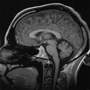
تشريح الدماغ عند الإنسان

ينقسم الدماغ عند الإنسان إلى ثلاثة أقسام رئيسية:
- الدماغ الأمامي (باللاتينية: prosencephalon): يتألف من قسمين:
- الدماغ الانتهائي (باللاتينية: Telencephalon) هو نفسه المخ، يتألف من نصفي كرتي المخ والقشرة المخية تحتوي على أنوية العصبونات ويحتوي أيضاً على المادة الرمادية تتوضع بشكل مركزي وتشكل العقد القاعدية مثل: النواة الذيلية والنواة العدسية، ويحتوي المادة البيضاء المحيطية والتي تتكون بشكل أساسي من محاور العصبونات،، بالإضافة لذلك حيوي المخ البطين الجانبي.
- الدماغ البيني (باللاتينية: Diencephalon)
- الدماغ المتوسط (باللاتينية: Mesencephalon)
- الدماغ الخلفي (باللاتينية: Rhombencephalon) يتألف من قسمين:
- الدماغ التالي (باللاتينية: Metencephalon): يحوي المخيخ والجسر
- الدماغ البصلي (باللاتينية: Myelencephalon): يحوي النخاع المستطيل (أو ما كان يسمى البصلة السيسائية)
يتألف جذع الدماغ من: الدماغ المتوسط والجسر والنخاع المستطيل، أي أن جذع الدماغ يتكون من: الدماغ المتوسط والدماغ الخلفي عدا المخيخ.

| جهاز عصبي مركزي | دماغ | دماغ أمامي | الدماغ الانتهائي (المخ) |
دماغ شمي Rhinencephalon، أميغدالا = لوزة عصبية Amygdala، حصين، قشرة جديدة، بطينات جانبية |
|
| دماغ بيني |
مهيد Epithalamus، مهاد، الوطاء أو تحت المهاد، مهاد تحتاني Subthalamus، غدة نخامية، غدة صنوبرية، البطين الثالث |
||||
| دماغ متوسط |
سقف (تشرح عصبي) Tectum، سويقة مخية Cerebral peduncle، برتيكتوم Pretectum، المسال الدماغي[إزالة القالب] |
||||
| دماغ خلفي | دماغ تالي | المخيخ، الجسر | |||
| دماغ بصلي | النخاع المستطيل | ||||
| نخاع شوكي | |||||
أنواع خلايا وأنسجة الدماغ والحبل الشوكي
الخلايا العـصبية أو العَـصَبات (Neurons) تُعد العَصَبات، وتسمى أيضا بالعصبونات، من أهم أنواع الخلايا بالدماغ والمكون الرئيسي للجهاز العصبي، وتحدد الإشارات الكهربية التي تحملها العَصَبات، وتقوم بإرسالها عبر الألياف العصبية، جميع نشاطات الدماغ والحبل الشوكي، مثل التفكير والذاكرة والعواطف والنطق وحركة العضلات، ومن المعروف أن العَصَبات تتوقف عن الانقسام وبالتالي التكاثر خلال السنة الأولى عقب الولادة (مع القليل من الاستثناءات)، وذلك بخلاف العديد من أنواع الخلايا التي يمكنها أن تنمو وتتكاثر بشكل متواصل، وذلك لتجديد الأنسجة وإصلاحها عند تضررها بالأمراض أو الجروح أو بغيرها.
الخلايا الدبقية (Glial cells) و تُعد الخلايا الداعمة للدماغ وثمة ثلاثة أنواع من الخلايا الدبقية المكونة للدبق العصبي (Neuroglia): الخلايا النجمية (astrocytes)، والخـلايا قليلة التفـرع أو التغصن (oligodendrocytes)، وخـلايا البطانة العصبية (ependymal cells)، وهي تنمو وتنقسم ببطء شديد، وتستمر في التزايد العددي حتى بلوغ الطفل سن الخامسة فحسب، حيث يصل الدماغ عندها إلى حجمه الأقصى ويبقى كذلك مدى الحياة، ويجدر بالذكر أن معظم أورام الدماغ والحبل الشوكي تنشأ عن تسرطن الخلايا الدبقية.
و تساعد الخلايا النجمية في دعم وإمداد العَصَبات، حيث تربطها بالأوعية الدموية وتلتف حولها لتشكل شبكة داعمة، كما تساعد في تكوين الحاجز الدموي الدماغي، وتقوم بعمليات الرتق لأنسجة الدماغ عند حدوث الجروح أو الإصابات مما يساعد على التئامها، بينما تنتج الخلايا الدبقية قليلة التفرع مادة النخاعين (myelin) التي تحيط وتعزل الألياف العصبية بالدماغ والحبل الشوكي، وبذلك تساعد العَصَبات في نقل الإشارات الكهربية عبرها، أما خلايا البطانة فتتواجد بالجزء الداخلي للبطينات المخية بمركز الدماغ والقناة المركزية للحبل الشوكي، حيث تقوم بتبطينها بطبقة واحدة، ومن هنا تعتبر جزءا من مسرى السائل المخي الشوكي.
الخلايا الدبقية الصغيرة (microglia) و تُعد الخلايا المناعية بالجهاز العصبي المركزي وليست تماما خلايا دبقية في الأصل، وهي تقوم بابتلاع الجراثيم والكائنات الغريبة، ويبلغ تعدادها حوالي 20 % من مجمل الخلايا الدبقية بالدماغ.
أغشية السحايا (meninges) و هي أنسجة خاصة تبطن الفراغات المحيطة بالدماغ والحبل الشوكي والمملوءة بالسائل المُخّي الشوكي، وثمة نوعان من الأغشية السحائية : السحايا الرقيقـة (leptomeninges) أو العنكـبوتية الحنـون(pia-arachnoid) وهي أغشية رقيقة تضم السائل المُخّي الشوكي مباشرة، والسحايا الغليظة (pachymeninges) أو الأم الجافية (dura) وهي أكثر صلابة وتحيط بالسحايا الرقيقة.
خلايا شفان (Schwann cells) و تقوم بإنتاج النخاعين (myelin) الذي يحيط ويعزل ألياف الأعصاب القحفية وغيرها من الأعصاب بالجسم، ودورها أساسي في تكوين الغمد النخاعيني لمحور الألياف العصبية.
الضفيرة المشيمية (Choroid plexus) و هي عبارة عن شبكات من الشعيرات الدموية وخلايا البطانة العصبية تتمركز ضمن البطينات المخية وتقوم بإفراز السائل المخُيّ الشوكي.
الغـدّة النخـامية (Pituitary gland)
و تقع عند مركز الدماغ تقريبا، وتُعد من أهم الغدد الصماء بالجسم وتسمى أيضا بالغدة السيدة (Master gland) حيث تقوم بتنظيم العديد من النشاطات الحيوية للغدد الأخرى بإفرازها للعديد من الهرمونات، مثل هرمون النمو الذي يحفز ويتحكم في النمو البدني، وهرمون البرولاكتين الذي يتحكم في إفراز اللبن بالثدي، والهرمونات المنبهه لإفراز هرمونات الغدة الدرقية والغدة الكظرية، أو المحفزة لإفراز الهرمونات الجنسية.
الـوِطاء (hypothalamus) يُعد الـوِطاء جزءا من الدماغ الأوسط ويتواجد قرب الغدة النخامية، ويعتبر من أهم أجزاء الجهاز العصبي، حيث يقوم بدور رئيسي في العديد من الوظائف العصبية والحيوية، من أهمها التحكم في تنسيق الجهاز العـصبي الذاتي والنشاطات غير الإرادية، مثل تنظيم سرعة القلب وحركة الطعام بالقناة الهضمية وتقلصات المثانة البولية وتنظيم حرارة الجسم، كما يعمل كمنظم ومؤقت للعديد من النظم الحيوية الدورية، ويعتبر الوسيط بين الجهاز العصبي ومنظومة الغدد الصماء بتحفيزه للغدة النخامية وتوجيهه لعملها بإفرازه للهـرمونات المنظمة التي تحثها على إفراز هرموناتها أو تثبطها عن ذلك، كما ينتج الوِطـاء هرموني الاوكسـيتوسين (Oxytocin) الذي يعمل على انقباض العـضلات الملساء بالرحـم عند الولادة وانبجاس اللبن خارج الثـدي، والهرمون الكابح للتبول (Antidiuretic hormon) الذي يقلل من كميات البول المتكون بالكِلى.
الغـدة الصنوبرية (Pineal gland) و هي من الغدد الصماء وتتواجد بين نصفي كرة المخ، وتقوم بإفراز هرمون الميلاتونين (melatonin) الذي يتفاعل مع تغيرات الضوء ويعمل على تنظيم وتوقيت العمليات الحيوية الدورية بالجسم.
الحاجز الدموي الدمـاغي (Blood-brain barrier) بخلاف أغلب الأعضاء الأخرى بالجسم، ثمة حاجز بين الدم وبين أنسجة الجهاز العصبي المركزي يتشكل من مكونات الضفائر المشيمية، ويسمح لمواد محددة بالدخول إلى السائل المُخّي، وبذلك يحمي الدماغ والحبل الشوكي من المواد المضرة، كما أنه يمنع العديد من الأدوية من النفاذ مباشرة إلى الدماغ والحبل الشوكي بما في ذلك البعض من أدوية معالجة الأورام.
احصائيات
يتكون دماغ الإنسان من نحو 100 مليار خلية عصبية. تتشابك تلك الخلايا ببعضها البعض مكونة نحو 100 مليون مليون عصبون. تبلغ مقاييس الخلية العصبية نحو 05 و0 مليمتر. وتتجدد الخلايا العصبية بمعدل 300 مليون في الدقيقة الواحدة تستبدل كل منها خلية عصبية أخرى مستهلكة.
يستطيع دماغ الإنسان احتواء معلومات نحو 15000 كتاب كل منها مكون من 1000 صفحة. كل هذه السعة موجودة في الدماغ الذي يصل حجمه في الشخص البالغ نحو 1300 سنتيمتر مكعب (مليلتر).
دماغ عند الحيوانات
لا تملك غالبية اللافقاريات (حيوانات بلا عمود فقري) أدمغة متطورة، وعوضاً عن ذلك، لديها عناقيد من الخلايا العصبية تسمى: "العقد" وظيفتها التنسيق بين نشاطات الجسم المختلفة. ولكل الفقاريات (حيوانات ذوات عمود فقري) نوع من الدماغ. وتفترض نظرية داروين أن الدماغ المركب في الحيوانات العليا قد تطور عبر العصور.
في اللافقاريات. تمتلك اللافقاريات الأكثر تطوراً، مثل الديدان والحشرات، نوعاً من الدماغ البسيط نسبياً. فديدان الأرض مثلاً، لها زوج من العقد الكبيرة في منطقة الرأس، يتحكمان في سلوك الديدان، اعتماداً على المعلومات المستقبلة من أعضاء الحس. ويوجد في الحشرات دماغ أكثر تعقيداً، يتكون من ثلاثة أزواج من العُقد. وتستقبل تلك العقد المعلومات من أعضاء الحس، وتسيطر على الأنشطة المعقدة مثل التغذية والطيران.
وللأخطبوط دماغ متطور مقارناً ببقية اللافقاريات، حيث ينقسم إلى عدة أجزاء، أكبرها الفص البصري الذي يعالج المعلومات القادمة من عيون الأخطبوط، والتي تشبه عيون الفقاريات في التركيب والوظائف.
في الفقاريات، ينقسم الدماغ في الفقاريات إلى ثلاث مناطق وذلك حسب التطور الجنيني لدى الفقاريات:
- الدماغ الأمامي
- دماغ متوسط
- الدماغ الخلفي
والدماغ المتوسط هو الأكثر تعقيداً في الفقاريات البدائية مثل الأسماك والبرمائيات. أمّا الدماغ الأمامي، أو المخ، فيشكل جزءاً صغيراً من الدماغ في هذه الحيوانات. وفي الفقاريات المتطورة هناك اختلاف كبير في تركيب الدماغ، حيث يزداد حجم وأهمية الدماغ الخلفي كثيراً، وتقل أهمية وحجم الدماغ المتوسط. ويتكون الدماغ الخلفي من المخيخ والنخاع المستطيل (أو البصلة)، ويتشابه تركيبه ووظائفه في كل الفقاريات، إلا أن المخيخ أكبر حجماً وأكثر تعقيداً في الحيوانات المتطورة.
ويتكون الدماغ المتوسط في الأسماك والبرمائيات من فصَّين بصريين. وهذان الفصان هما مركزا الرؤية في الحيوان، ويقومان أيضاً بالتنسيق بين الدفعات الحركية والحسّية. ويتكون مخ الأسماك من انتفاخين أملسين صغيرين يستخدمان أساساً مركزاً للشم. والمخ في البرمائيات أكبر قليلاً ومغطى بقشرة.
وفي الزواحف يؤدي المخ بعض وظائف الدماغ المتوسط. وهو أكبر حجماً وأكثر تعقيداً من نظيره في الأسماك أو البرمائيات. وتقع داخل المخ عقد قاعدية، في شكل حزم صغيرة من العصبونات، تكون مناطق رئيسية لتحليل المعلومات ومعالجتها وتخزينها. وتتميز بعض الزواحف بمنطقة صغيرة من القشرة المخية، تختلف عن القشرة في الفقاريات البسيطة. وتسمى هذه المنطقة القشـرة الجديدة (باللاتينية: Neocortex)، وهي منطقة مهمة، حيث تؤدي وظيفة معالجة المعلومات وتخزينها.
ومخ الطيور أكبر من نظيره في الأسماك والزواحف والبرمائيات، إلا أنه يفتقــر إلـى القشـرة الجديدة على عكس بعض الزواحــف. وبدلاً منها يتكون الجزء الأكبر من الدماغ من عقد قاعـدية كبيرة ومتطـورة، تملأ أغلب الجزء الداخلي للدماغ. وهذه العقد القـاعدية هي المركز الرئيسي لمعالجة المعلومات وتخزينها، كما أنها تمكِّن الطيور من تعلم أنماط السلوك الجديدة، ويبدو أنها تقوم أيضاً بتخزين التعليمات الخاصة بأنماط السلوك الغريزي المتعددة. وتتميز الطيور أيضاً بمخيخ متطـور، ينسـق بين كـل الدفعات الحسية والحركية المرتبطة بعملية الطيران.
يصل الدماغ إلى أعلى درجات تعقيده في الثدييات. فالقشرة الجديدة تكوِّن تقريباً كل القشرة المخية لدماغ الثدييات، ويؤدي الدماغ المتوسط وظيفة مركز الاتصال. ولمعظم الثدييات البدائية، مثل: الخلد، مخ صغير نسبياً ذو قشرة مخية ناعمة. أما الثدييات المتطورة مثل: الخيل والقطط فلها مخ كبير مغطى بقشرة بها الكثير من النتوءات والأخاديد التي تزيد مساحة سطح الدماغ. وللحيتان والدلافين أدمغة كبيرة ومعقدة، غير أن دماغ الشمبانزي والقردة العظمى الأخرى أكثر تعقيداً، وأقرب إلى الدماغ البشري من دماغ أي نوع آخر من الحيوانات.[3]
المراجع
- ↑ Shepherd GM (1994). Neurobiology. Oxford University Press. ISBN 9780195088434.
- ↑ الدماغ يعمل بأقصى طاقته في التاسعة والثلاثين
- ↑ الموسوعة العربية العالمية
وصلات خارجية
- طاقة الدماغ الخفية مجلة العلوم الامريكيه - النسخة العربيه
- إضاءة الدماغ مجلة العلوم الأمريكية - النسخة العربية
- تشكل تضاريس الدماغ مجلة العلوم الأمريكية - النسخة العربية
- المحافظة على خلايا الدماغ الجديدة مجلة العلوم الأمريكية - النسخة العربية
- الموسوعة العربية العالمية
قالب:الجهاز العصبي قالب:مخ قالب:دماغ بيني